
Micrograph 1: Effects of Direct peritoneal resuscitation on microvascular diameter and blood flow. Upper panel, A1 (left), pA3 (middle), dA3 (right) intestinal arterioles in shams. Middle panel: same microvessels at 2 hour following resuscitation from shock. Lower panel: same vessels at 2 hour following adjunctive Direct Peritoneal Resuscitation (DPR) using 2.5% peritoneal dialysis solution.
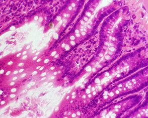
Micrograph 2: Gut after resuscitation from hemorrhagic shock.
Micrograph 3: Gut after adjunctive DPR with 2.5% peritoneal dialysis solution.

Micrograph 4: Lung after resuscitation from hemorrhagic shock.

Micrograph 5: Lung after adjunctive DPR with 2.5% peritoneal dialysis solution.
